

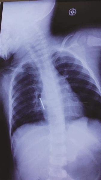
胸片显示,气钉扎进孩子胸腔,差一点就要了孩子的命。
2岁小孩趁着大人不注意,玩起了气钉枪。谁知,一不小心就朝着自己开了一枪。结果不偏不倚,一个5厘米左右长的钉子竟然就射中了心脏,差点让孩子丢了性命。通讯员 钱丽萍 杜鹏伟 扬子晚报全媒体记者 薛马义
2岁男童朝自己开了一枪
气钉枪打出钉的力度,厉害的可射穿1cm钢板
常熟市民许先生是做装修生意的,家里常备着装修用的各种器具,包括气钉枪等。2016年12月30日中午,许先生的2岁儿子阳阳(化名)在家玩耍,一把气钉枪放在客厅的板凳上。由于一旁没有家长看护,阳阳摸到了气钉枪。玩耍中,他的身体碰到了朝着自己的气钉枪的枪头,左手到处触摸气钉枪,一不小心扣动了扳机。
一瞬间,一个长5厘米左右的钉子射进阳阳的心脏附近!据了解,气钉枪打出钉的力度很大,很有冲击力和杀伤力,速度一般60米/秒,厉害的可射穿1cm钢板。许先生看到此景,整个人都蒙了。带阳阳火速去医院,他在心里不停祈祷:“千万别刺到心脏!千万别……”
钉尖穿入右心房肌层3毫米
如果钉子再深入一点,那抢救都来不及了
许先生一家先是带阳阳到常熟当地医院,后紧急转往苏大附儿院。据许先生回忆,阳阳一开始并没有大哭,只觉得胸口很痛,甚至一度脸色苍白,有晕倒的迹象。苏大附儿院胸心外科副主任医师廖健毅接诊后,果断采取诊断方案。
“从片子上看,钉子尖就靠近心脏。如果直接拔钉子,钉子穿透心脏的话,会引起大出血,继而危及生命,也可能胸腔内存有大量积血会填塞心脏,十分危险。”
在进行充分评估后,专家们决定手术打开胸腔,后发现钉子的钉尖已经穿入右心房肌层3毫米,已造成胸腔积血150毫升。“如果钉子再深入一点,那抢救都来不及了。”所幸手术顺利,阳阳脱离了生命危险。
对此,专家提醒,寒假即将来临,孩子在家中玩耍,大人们务必要注意安全,一定要把那些容易对孩子造成伤害的工具远离他们视线。幼儿期为意外伤害的高发期,从1岁至3岁这个阶段,孩子对于周围事物有着强烈的探索欲,但是对于危险因素没有认知和规避能力。“各位家长朋友应格外留心孩子所接触的一切事物和环境,让儿童远离意外伤害。”
上一篇:北京能否给所有学校装空气净化设备?专家:?HQ??0O
下一篇:10岁女童患上“巨乳症” 手臂、嘴边生出浓密须发